Trong tuần qua, Khoa Nội soi – Thăm dò chức năng, Bệnh viện Ung bướu Bắc Ninh đã thực hiện thành công hai ca can thiệp u trực tràng – ống hậu môn bằng kỹ thuật cắt tách niêm mạc qua nội soi (Endoscopic Submucosal Dissection – ESD). Đây là nhóm vị trí được đánh giá khó do cấu trúc giải phẫu phức tạp, không gian thao tác hẹp và đòi hỏi kỹ năng xử lý tinh tế của bác sĩ nội soi
Hai bệnh nhân nhập viện với tình trạng xuất hiện khối u vùng trực tràng – ống hậu môn, có nguy cơ phải phẫu thuật mở bụng và mang hậu môn nhân tạo nếu điều trị theo phương pháp truyền thống. Sau khi hội chẩn đa chuyên khoa, bệnh viện quyết định lựa chọn kỹ thuật ESD nhằm tối ưu hiệu quả điều trị, đồng thời bảo tồn tối đa cấu trúc hậu môn tự nhiên cho người bệnh.
Đáng chú ý, cả hai khối u đều có kích thước khoảng 2×3 cm, nằm sát ống hậu môn – một vị trí thách thức lớn đối với thao tác nội soi can thiệp. Bằng hệ thống nội soi hiện đại và kỹ thuật thuần thục, các bác sĩ đã bóc tách trọn vẹn tổn thương khỏi lớp dưới niêm mạc, hạn chế tối đa tổn thương mô lành và hoàn toàn không ảnh hưởng đến cơ thắt hậu môn. Bệnh nhân hồi phục nhanh, giảm đáng kể đau đớn, có thể ăn uống sớm và đặc biệt không phải mang hậu môn nhân tạo, giúp duy trì chất lượng cuộc sống và tinh thần người bệnh.
Kết quả giải phẫu bệnh cho thấy: U tuyến ống, loạn sản độ cao, tương ứng với giai đoạn tiền ung thư. Việc xử lý triệt để ngay từ giai đoạn tiền ung thư giúp loại bỏ hoàn toàn nguy cơ tiến triển thành ung thư xâm lấn, tránh được phẫu thuật nặng nề và hạn chế tối đa biến chứng.
 |
 |
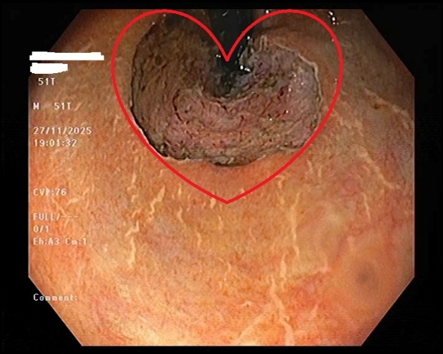
| Ảnh khối u trực tràng - ống hậu môn |
Ảnh sau khi cắt |
 |
|
| Ảnh sau khi cắt |
|
Thành công của hai ca ESD tại vị trí khó này cho thấy năng lực chuyên môn của đội ngũ bác sĩ Khoa Nội soi – Thăm dò chức năng ngày càng được nâng cao, đồng thời khẳng định cam kết của Bệnh viện Ung bướu Bắc Ninh trong việc áp dụng các kỹ thuật tiên tiến, cập nhật xu hướng điều trị hiện đại nhằm mang lại lợi ích tối đa cho người bệnh.
Bệnh viện sẽ tiếp tục phát triển các kỹ thuật nội soi can thiệp chất lượng cao, mở rộng chỉ định ESD cho các tổn thương phức tạp hơn, từng bước nâng cao vị thế bệnh viện chuyên khoa ung bướu của tỉnh và khu vực.